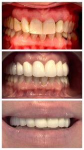
Las carillas de porcelana sin tallado son una solución estética ideal para mejorar la sonrisa sin necesidad de desgastar el diente natural. En este caso clínico, se corrigieron forma, tamaño y color de las piezas dentales, logrando una sonrisa más armónica, luminosa y natural.
Este tipo de tratamiento es conservador y altamente estético, ya que respeta la estructura dental original mientras ofrece resultados duraderos. Cada carilla se diseña de manera personalizada, teniendo en cuenta las características faciales del paciente para conseguir un resultado completamente integrado y natural.

Una manera de dar un plus de estética a tus dientes de la manera más conservadora posible, sólo colocando carillas en el sector superior conseguimos una mejora notable en la sonrisa cambiando forma y color.